Женские болезни: кольпит, он же — вагинит

Женские болезни: кольпит, он же — вагинит

Кольпит — это заболевание, при котором происходит активизация воспалительного процесса некоторых женских органов, но в основном поражается слизистая оболочка влагалища. Другое название этой проблемы — вагинит. Запущенное заболевание может привести к расширению воспаления, которые переходит не только на вульву, но и на наружные половые органы. Такое более «расширенное» воспаление носит название вульвовагинит.

Кольпит-вагинит — довольно распространенное заболевание, и сейчас практически каждая четвертая женщина страдает этим достаточно неприятным заболеванием в том или ином его проявлении. Самой главной причиной воспаления слизистой влагалища является несоблюдение самых элементарных правил гигиены или же попадание в организм инфекций, которые обычно передаются половым путем.

Также катализатором для проявления этого заболевания может стать синтетическое белье, гормональные нарушения или же общий иммунный фон организма. Поэтому кольпит может возникнуть и проявиться практически в любом возрасте не только у зрелых женщин, но и у детей, и у пожилых женщин. Кольпит опасен также тем, что при неправильном лечении он довольно быстро может перейти в хроническую форму, это в первую очередь касается воспалений, вызванных хламидиями или трихомонадами. При этом опасность такого заболевания состоит в том, что возбудители заболевания легко передаются и на соседние органы, например, на матку и яичники, что может легко стать причиной гораздо более серьезных проблем со здоровьем, вплоть до бесплодия.

Как сохранить женское здоровье?

Кольпиты в зависимости от причины возникновения делятся на несколько групп, самыми распространенными из них являются бактериальный, неспецифический и аллергический.

Бактериальный (или специфический) кольпит

Бактериальный (или специфический) кольпит — воспаление, вызванное полностью патогенной микрофлорой, делится на разновидности по типу микроорганизмов. Патогенные микроорганизмы проникают во влагалище при разных обстоятельствах, например, во время полового акта, с белья или даже в результате медицинского вмешательства.

Неспецифическим бактериальный кольпит

Кольпит, вызванный условно-патогенными микроорганизмами, называется неспецифическим бактериальным кольпитом. Условно-патогенные бактерии вызывают воспаление только при определенных условиях. Такие бактерии присутствуют в организме всегда, при этом выполняя определенные функции. В результате ослабления иммунитета, стресса, приёма лекарств, в том числе антибиотиков, устойчивость организма снижается и такие бактерии, чрезмерно размножаясь, нарушают микрофлору влагалища и вызывают воспалительный процесс.

Ребенок и бытовые приборы

Аллергическим кольпит

Также кольпит может быть и неинфекционного происхождения. Такой кольпит также называют аллергическим, и стать причиной развития этого заболевания может как синтетическая одежда, так и чрезмерное использование парфюмерии, таблеток, свечей, вагинальных спреев, мазей и прочих веществ.

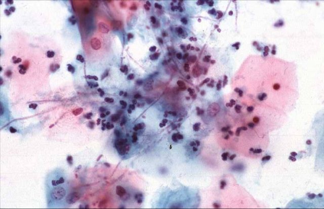
Признаки кольпита

кольпит

Первым признаком кольпита может стать зуд или любого рода дискомфорт во влагалище. Также часто появление болей при мочеиспускании или половом акте. Кроме того, проявлением кольпита может быть изменение цвета выделений, их запаха и консистенции. Иногда кольпит может протекать тяжело, с повышением температуры, а иногда — просто доставлять неприятные ощущения, вроде тех, которые были описаны выше. Если у вас проявился хотя бы один из вышеперечисленных симптомов, нужно обращаться к врачу немедленно, даже если на общее самочувствие это негативно не влияет — ведь последствия у кольпита довольно серьёзные, к тому же, легче вылечить острое воспаление, чем лечить хроническое.

Профилактика кольпита

Моё рыжеволосое солнце, Андрюшка (Natalyok)

Ни для кого не секрет, что намного легче предупредить болезнь, чем её вылечить. Чтобы свести к минимуму вероятность активирования воспалительного процесса, нужно в первую очередь тщательно соблюдать личную гигиену, но при этом, не доводить это до абсурда. Следует принимать душ хотя бы один раз в день, а также каждый день менять белье и использовать гигиенические прокладки, которые следует менять каждые пару часов. При этом не стоит переусердствовать с чистотой — слишком частое беспричинное спринцевание может привести к противоположному эффекту, так как эта процедура может нарушить привычную микрофлору влагалища, то есть привести к противоположному эффекту.

Стоит также особое внимание уделять гигиене интимных отношений. Обязательно нужно принимать душ не только до полового акта, но и после него, и попросить сделать то же и своего партнера. Также лучше будет воспользоваться презервативом, особенно, если интимных отношений с этим человеком у вас раньше не было. Выбирать белье следует только из натуральных тканей, это же касается и полотенца, которое, кстати, должно быть признание только для интимной гигиены, и оно должно всегда быть чистым.

Печемся о приданном заранее

Профилактика кольпита

Не злоупотребляйте использованием парфюмерными средствами, эфирными маслами и горячими ваннами. Для интимной гигиены идеально подойдут специальные средства, которые не содержат аллергенов и обладают оптимальной средой. Стоит также отказаться и от ароматизированных тампонов и прокладок.

Если же предупредить болезнь не удалось, самолечением не занимайтесь ни в коем случае, лучше сразу обратиться к врачу. Дело в том, что для того, чтобы вылечить, а не залечить кольпит, нужно правильно определить причину воспаления. У врача вам придется сдать анализы на бакпосев, после чего вам будет поставлен точный диагноз и назначено эффективное лечение. Надо поинить, что самостоятельное, неквалифицированное лечение этого заболевания обязательно приведет к переходу воспаления в более серьёзную хроническую форму, так как большинство рекламируемых средств помогают бороться только с симптомами заболевания, облегчая его течение, но само заболевание они, к сожалению, вылечить не могут.

Онлайн консультации — нарушение микрофлоры влагалища

Появление на свет Атлантической Рыбки (ritkin)

Видео Кольпит